Introducción
El queso blanco fresco es uno de los productos lácteos mas comúnmente consumido en la dieta del venezolano; es elaborado a partir de leche de vaca cruda siguiendo esquemas artesanales empíricos, no estandarizados, lo que, aunado a la pobre calidad sanitaria, distribución y comercialización, no sujeta a controles, almacenamiento sin refrigeración o refrigeración no controlada lo convierten en un potencial vehículo para la transmisión de importantes patógenos. El queso fresco es especialmente vulnerable a contaminación con Listeria, debido a su alto contenido de humedad, alta disponibilidad de nutrientes, concentración de sal de 1-3% y especialmente, el hecho de que se consume sin recibir ningún tratamiento térmico (1). El queso blanco fresco, ha sido considerado uno de los vehículos principales de entrada de L. monocytogenes al organismo humano, por ser consumido sin tratamiento bactericida previo y conservado por periodos prolongados a temperatura de refrigeración (2,3); siendo los grupos poblacionales más susceptibles a la contaminación y padecer la enfermedad por este patógeno, aquéllos que tienen disminuida la inmunidad celular, entre ellos están los recién nacidos, mujeres embarazadas y ancianos (4).
Generalmente en la industria de alimentos la identificación de L. monocytogenes se realiza por métodos microbiológicos tradicionales que requieren de un mínimo de 5 días para declarar si un alimento está libre de Listeria y de 10 días adicionales para reconocer la especie monocytogenes (5). Estos métodos no permiten tomar decisiones rápidas, causando incrementos en el costo del producto final por concepto de cuarentena, antes de su liberación. De allí, que se busque la aplicación de métodos rápidos y sensibles como lo es el de la Reacción en Cadena de la Polimerasa (PCR) (6), que permita detectar el patógeno en muestras de alimentos, de una manera eficaz y rápida; lo que accedería a llevar un control más eficiente del proceso de producción y tomar decisiones a corto plazo.
El objetivo del presente trabajo fue emplear el método de PCR para la detección de L. monocytogenes en muestras de queso blanco criollo provenientes de una quesera ubicada en Valencia, Estado Carabobo.
Materiales y métodos
Muestras
Las muestras de queso (30 en total, de 250 gr c/u) fueron adquiridas directamente de una quesera ubicada en Valencia Estado Carabobo. Las mismas se colocaron en bolsas plásticas y transportadas en cavas con hielo hasta el laboratorio, donde fueron procesadas o conservadas bajo refrigeración hasta su procesamiento dentro de las 48 horas siguientes a su adquisición.
Cepas control
Para medir la especificidad de PCR y detectar los diferentes géneros y especies, se emplearon 8 cepas control integradas por: 3 de Listeria monocytogenes, 1 de Listeria ivanovii, 1 de Listeria seeligeri, 1 de Staphylococcus aureus, 1 Escherichia coli y 1 de Streptococcus bovis. La procedencia y tipo de cepas se presentan en el Cuadro 1.
Cuadro 1 Cepas de microorganismos usados en el estudio

Técnicas y procedimientos
La preparación de las muestras, identificación y confirmación de las cepas, se realizó usando una modificación a la metodología recomendada por COVENIN Nº 3718:2001 (7).
Preparación de las muestras
Procedimiento: Muestras de queso blanco
De los 250 gramos de queso blanco adquiridos, se pesaron 25 gramos extraídos de diferentes partes de la muestra, los mismos fueron macerados asépticamente, para luego tomar un gramo (1g) de este macerado y colocarlo en un tubo que contenía 9 mL de caldo soya tripticasa con 0,6% de extracto de levadura, de tal forma que se mantuvo la relación 1:10 según la Norma COVENIN (8). Se incubó por 4h a 30ºC, como medida de pre-enriquecimiento; transcurrido este tiempo se le añadieron los agentes selectivos acriflavina HCl, ácido malidíxico y cliclohexamida mezclándose por agitación y se continuó incubando por 12 horas a 37ºC fin de obtener el crecimiento óptimo de microorganismos COVENIN (7) (esto se realizó para cada una de las 30 muestras). Finalizado el tiempo de incubación, se inoculó 0,1 mL, de la mezcla previa, en agar PALCAM por la técnica de difusión en agar con la espátula de Drigalski, se incubó a 37°C y se observó a las 24, 48 y 72 horas, para evidenciar el crecimiento del microorganismo. Las placas que mostraron colonias con características morfológicas similares a Listeria, se catalogaron como “Listeria presuntiva”, y las que no como “negativas” .
Identificación y confirmación de las cepas
Usando la identificación morfológica de las colonias que crecieron en agar PALCAM, se inocularon las colonias típicas del microorganismo, por estriación con asa de platino en placas de Agar Tripticasa Soya con 0,6% de extracto de levadura, incubándose a 37°C por 48 horas, a partir de este cultivo se realizaron: coloración de gram, prueba de movilidad en medio SIM, motilidad en lámina escavada, prueba de hemólisis en agar sangre, prueba de CAMP, prueba de catalasa y el esquema de identificación bioquímica con las pruebas de fermentación de ramnosa, xilosa, manitol, TSI (lactosa, sacarosa, glucosa) y la prueba de bilis esculina, para la identificación y confirmación de Listeria spp.
Control
Estuvo conformado por cepas individuales y por un pool de mezcla de dos o más cepas control. Cada cepa y cada pool de cepas, fue colocado individualmente en un tubo con 9 mL de caldo soya tripticasa con 0,6% de extracto de levadura, incubándose por 12 horas a 37ºC, para obtener el crecimiento óptimo.
Extracción de ADN del cultivo de muestras de queso y cepas control
Se siguió la metodología descrita por Torres y col., (4) para ello, de las muestras previamente incubadas, se tomó 1 mL del cultivo y se centrifugó por 10 minutos a 4000 rpm. Las células obtenidas (pellet) fueron lavadas con solución tampón TE 1X (Tris-HCl 10 mM, EDTA 1 mM, pH 8,0 +/-0,2); para la lisis celular, el pellet fue resuspendido en 200 μL de tampón TE 1X más 2 mg/mL de lisozima incubándose por 30 minutos a 37°C. Seguidamente se añadieron 300 μL de tampón TE 1X con 1% (p/v) de SDS y proteinasa K hasta una concentración final de 100 μg/mL, la mezcla se incubó a 65°C por 1 hora. Luego de la incubación se adicionaron 84 μL de solución de NaCl 5M y 60 μL de Cetyltrimetil Bromuro de Amonio (CTAB) al 10% (p/v) disuelto en NaCl 0,7M; posteriormente se incubó por 20 minutos a 65°C. La suspensión resultante se trató con una mezcla 24:1 de fenol-cloroformo. Una vez separadas las fases por centrifugación, la fase acuosa se trató con 2-propanol para lograr la precipitación del ADN. El ADN precipitado se lavó con etanol al 70% (v/v) se secó a 37°C y se resuspendió en tampón TE 1X.
Determinación de la especificidad y sensibilidad de la PCR
Para evaluar la especificidad de la prueba de PCR, se corrieron muestras controles empleando diferentes tubos de caldo soya tripticasa con 0,6% de extracto de levadura. Los tubos fueron inoculados de la siguiente manera: (i) Listeria monocytogenes CVCM 446, (ii) Listeria monocytogenes UC, (iii) Listeria monocytogenes UC, (iv) Listeria ivanovii UC, (v) Listeria seeligeri UC, (vi) Escherichia coli CVCM 304, (vii) Staphylococcus aureus CVCM 718, (viii) pool de muestras de Listeria monocytogenes CVCM 446, Streptococcus bovis CVCM 648, Escherichia coli CVCM 304, Staphylococcus aureus CVCM 718, (ix) Listeria monocytogenes con concentración conocida (100 UFC/mL), (x) Pool de muestra de Streptococcus bovis CVCM 648, Escherichia coli CVCM 304, Staphylococcus aureus CVCM 718. El marcador de peso molecular empleado fue de 100 pares de base (Gibco BRL).
Para verificar la sensibilidad del PCR, se inocularon colonias de Listeria monocytogenes 446 en placas de Agar PALCAM incubándose a 37 ºC por 24 horas. Se tomaron colonias y se colocaron un tubo de caldo soya tripticasa para obtener una dilución 1:2 a partir de ésta se realizaron diluciones seriadas de 1:4, 1:8, 1:16 y 1:32 incubándose todas ellas a 37 ºC por 24 horas. Transcurrido este tiempo se procedió al ensayo de PCR.
Reacción de PCR
Siguiendo las metodologías (9-11) para la PCR, se emplearon cuatro cebadores basados en la secuencia del gen hlyA de la listeriolisina O (Roche, Mannheim, Germany).
L1 (CTCCATAAAGGTGACCCT),
U1 (CAGCMGCCGCGGTAATWC),
LF (CAAACGTTAACAACGCAGTA)
LR (TCCAGAGTGATCGATGTTAA)
El volumen final para la reacción de PCR fue de 30 mL, esta mezcla contenía buffer para PCR 1X; 2,5 mM de MgCl2; 0,2 mM de cada dNTP; 20 pmol de cada cebador y 2U de Taq – ADN polimerasa (Promega, Madison, USA), y 3 mL de ADN-muestra. Se empleó un termociclador BIORAD Gene CyclerTM 2400 programado de la siguiente manera: 1 minuto a 95ºC, seguidos de 30 ciclos de 30 segundos a 94ºC, 20 segundos a 51ºC, 30 segundos a 74ºC y un paso final de extensión de 8 minutos a 74ºC.
La especificidad de los iniciadores L1/U1 que amplificaron la banda de 938 pb (identificación de género) es característica del ADNr 16S y los iniciadores LF/LR que amplificaron la banda de 750 pb es característica del gen hlyA (identificación de especie) (9).
Separación electroforética
Este procedimiento, permitió evidenciar las bandas correspondientes al gen de listeriolisina O, que pertenece a Listeria monocytogenes. Los productos de PCR y los de ADN obtenidos en las extracciones fueron visualizados en geles de agarosa al 1% (p/v) en tampón TAE 1X (Tris-acetato 40mM, EDTA 1 mM, pH 8+/-0,2), teñidos con 0,2 μg/mL de bromuro de etidio, corridos a 120V durante 1 hora. Como marcador de peso molecular se emplearon 100 pares de bases (Gibco BRL) (12).
Análisis estadístico
Se evaluó el grado de concordancia de las observaciones en los geles, para estimar si la asociación de los sistemas de medida de una variable continua concordaba. Para medir la concordancia se usó el coeficiente Kappa (k), mediante el programa estadístico EpiInfo V6, que corresponde a la proporción de concordancias observadas sobre el total de observaciones, habiendo excluido las concordancias atribuibles al azar. El coeficiente Kappa (k) toma valores entre -1 y +1; mientras más cercano a +1, mayor es el grado de concordancia inter-observador. Por el contrario, un valor de k = 0 refleja que la concordancia observada es precisamente la que se espera a causa exclusivamente del azar. La interpretación del coeficiente Kappa se realiza correlacionando su valor con una escala cualitativa. Se tomaron como valores negativos las muestras ausentes de L. monocytogenes y como positivos las muestras con L. monocytogenes. La escala cualitativa fue: 0 – 0,2 = “leve”; 0,2 – 0,4 = “aceptable”; 0,4 – 0,6 = “moderada”; 0,6 – 0,8 = “considerable”; 0,8 – 1 = “casi perfecta” (13).
Resultados
La Tabla 1 muestra los resultados del crecimiento presuntivo de Listeria spp en agar PALCAM en las 30 muestras de queso blanco fresco analizadas. En esta tabla, se observa el resultado del crecimiento presuntivo de Listeria spp en 8 de las 30 muestras analizadas.
TABLA 1
Crecimiento presuntivo de Listeria en muestras de queso blanco fresco

Las pruebas confirmatorias realizadas a las 8 muestras de queso blanco fresco consideradas como “Listeria presuntiva”, fueron necesarias para descartar resultados reales positivos y reales negativos; ya que el crecimiento en agar PALCAM de Streptococcus spp. y Staphylococcus spp., producen colonias muy similares a Listeria spp y pueden encubrir el crecimiento real de Listeria spp
La Tabla 2 muestra las pruebas confirmatorias realizadas para las 8 muestras de queso blanco fresco que resultaron como “Listeria presuntiva”. Se pudo observar que las muestras Nº5 y Nº10 tenían características propias para L. monocytogenes, es decir, colonias color verde oscuro con un halo negro y un hundimiento central en agar PALCAM, bacilos gram positivos dispuestos en empalizada, motilidad positiva para la prueba SIM en la forma de umbrella característica, hemólisis positiva y prueba de CAMP con S. aureus positiva y reacción ácido/acido (A/A) para el TSI. La muestra Nº 16 aunque presentaba características morfológicas y bioquímicas para ser considerada como L. monocytogenes, no fermentó la ramnosa pero si fermentó xilosa, por lo que fue catalogada como L. seeligeri, mientras que la muestra Nº 3 resulto ser negativa para la prueba de CAMP con S. aureus, por lo que fue catalogada como L. ivanovii.
TABLA 2
Pruebas confirmatorias realizadas a las muestras de “Listeria presuntiva” observadas en el queso blanco fresco

E: esculina; C: catalasa; SIM: sulfuro de hidrógeno, indol y motilidad; H: hemólisis; CAMP: con S. aureus; R: ramnosa; X: xilosa; M: manitol; TSI: lactosa, sacarosa y glucosa
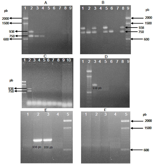
En la Figura 1 se muestra la corrida electroforética de todas las muestras de queso y controles; se pudo observar que el PCR amplificó para las muestras (Nº5 y Nº10) y para los controles con L. monocytogenes, las bandas 938 pb para género Listeria y 750 pb para la especie monocytogenes. Se evidencia que las muestras (Nº3, Nº16, Nº24 y Nº25) amplificaron sólo la banda 938 pb que corresponde al género Listeria al igual que en los controles empleados sin L. monocytogenes; no se observó amplificación de bandas en el resto de las muestras y en los controles sin este patógeno.
FIGURA 1

Electroforesis en gel de agarosa al 1% (p/v) en TAE IX. Teñido con 0,2 μg/ml de bromuro de etidio. A. Carril 1: marcador de peso molecular 100pb (Gibco BRL), carril 2: Listeria monocytogenes CVCM 446, carril 3: Listeria ivanovii colección UC, carril 4: Listeria seeligeri colección UC, carril 5: Escherichia coli CVCM 304, carril 6: Staphylococcus aureus CVCM 718, carril 7: Pool de muestra de Streptococcus bovis CVCM 648, Escherichia coli CVCM 304, Staphylococcus aureus CVCM 718, carril 8: muestra N° 1 queso blanco criollo, carril 9: muestra N° 2 queso blanco criollo. B. Carril 1: muestra N°10 queso blanco criollo, carril 2: muestra N° 3 queso blanco criollo, carril 3: muestra N° 5 queso blanco criollo, carril 4: muestra N°4 queso blanco criollo, carril 5: Listeria monocytogenes CVCM 446, carril 6: Listeria ivanovii colección UC, carril 7: muestra N° 6 queso blanco criollo, carril 8: Pool de muestras de Listeria monocytogenes CVCM 446, Streptococcus bovis CVCM 648, Escherichia coli CVCM 304, Staphylococcus aureus CVCM 718, carril 9: marcador de peso molecular 100pb (Gibco BRL). C. Carril 1: marcador de peso molecular 100pb (Gibco BRL), carril 2: Listeria monocytogenes CVCM 446, carril 3 al 5: muestra N° 7 al 9 queso blanco criollo, carril 6 al 10: muestra N° 11 al 15 queso blanco criollo. D. Carril 1: muestra N° 15 queso blanco criollo, carril 2: marcador de peso molecular 100pb (Gibco BRL), carril 3: muestra N° 16 queso blanco criollo, carril 4 al 9: muestra N° 17 al 22 queso blanco criollo. E. Carril 1: muestra N° 23 queso blanco criollo, carril 2: muestra N° 24 queso blanco criollo, carril 3: muestra N° 25 queso blanco criollo, carril 4: muestra N° 26 queso blanco criollo, carril 5: marcador de peso molecular 100pb (Gibco BRL). F. Carril 1 al 4: muestra N° 27 al 30 queso blanco criollo, carril 5: marcador de peso molecular 100pb (Gibco BRL).
Se encontró una reproducibilidad en el ensayo del 100 %, dado que sólo las cepas de Listeria monocytogenes amplificaron las bandas de 938pb y 750pb; mientras que la cepa de Listeria ivanovii y Listeria seeligeri amplificaron la banda de 938pb. Las muestras de S. aureus CVCM 718, E. coli CVCM 304, S. bovis CVCM 648, no amplificaron ninguna de las bandas. El pool de muestra inoculada con L. monocytogenes CVCM 446, L. ivanovii colección UC, S. aureus CVCM 764, E. coli CVCM 304 y S. bovis CVCM 648, amplificaron las bandas 938 pb y 750 pb que corresponden al género Listeria y a la especie monocytogenes. La muestra inoculada con L. ivanovii colección UC, S. aureus CVCM 764, E. coli CVCM 304 y S. bovis CVCM 648, amplificó solo la banda 938 pb correspondiente al género Listeria (Figura 1). Con esto también se demuestra la especificad del PCR, en que las muestras sin el microorganismo no amplificaron, lo que significa que el PCR tiene la capacidad de detectar negativos que verdaderamente son negativos y positivos que realmente son positivos a la presencia del microorganismo. La concordancia estadística observada para el método de PCR, indicó que existe un 100% de concordancia entre la respuesta obtenida en los controles y las muestras analizadas.
La sensibilidad del ensayo de PCR se verificó al observar la amplificación de las bandas 938 pb y 750 pb en la dilución 1:16 con el control de Listeria monocytogenes 446
El método es altamente reproducible y estadísticamente confiable, ya que el análisis arrojó un valor para kappa de 1, valor que lo califica como de concordancia total o “casi perfecta”.
Discusión
El crecimiento presuntivo de Listeria spp en 8 de las 30 muestras analizadas en el presente estudio coincide con lo expresado por diferentes investigadores, quienes sugieren que el crecimiento de esta bacteria es de distribución amplia en la naturaleza, a causa de su resistencia a condiciones extremas de temperatura, acidez y salinidad y su capacidad para multiplicarse a bajas temperaturas (14-16). Listeria monocytogenes es una bacteria gram positiva, no esporulada responsable de la listeriosis humana transmitidas por alimentos (ETA) y se ha convertido en un importante problema de salud pública desde el último decenio (17). Puede causar enfermedades, entre ellas la mastitis en vacas, por lo que ha sido escogida como modelo experimental para el desarrollo de métodos de diagnóstico molecular para patógenos transmitidos por la leche y está considerada como uno de los más importantes patógenos emergentes (18-20)]. L. monocytogenes puede presentarse conjuntamente con microorganismos competidores y otras cepas de Listeria spp., en muestras de alimentos, esta situación hace más difícil el aislamiento del patógeno por el método convencional, además de ser un procedimiento demorado, por lo que recurrir a la técnica molecular de PCR se puede identificar el género Listeria y la especie monocytogenes.
La corrida electroforética de todas las muestras de queso y controles el PCR amplificó las bandas 938 pb y 750 pb en aquellas muestras y controles que contenían Listeria monocytogenes; mientras que, las muestras que no contenían Listeria monocytogenes; amplificaron sólo la banda 938 pb correspondiente al género Listeria, resultado éste que concuerda con lo reportado por Scotter y col., (20); esto explica la especificidad de la técnica para detectar negativos que verdaderamente son negativos y positivos que realmente son positivos a la presencia del microorganismo. En los carriles 7 y 8 de la corrida electroforética (Figura 1C), correspondientes a las muestras 12 y 13 de queso blanco criollo que habían sido catalogadas como Listeria presuntiva no amplificaron la banda 938 pb ni la 750 pb correspondiente a género y especie respectivamente de Listeria monocytogenes La selección de estas muestras como Listeria presuntiva fue debido a que el agar PALCAM, a pesar de ser un agar selectivo para Listeria, permite el crecimiento de otros microorganismos como el Streptococcus cuya morfología de crecimiento de la colonia, en relación al color de la misma es similar, lo que no ocurrió con el PCR que al tener una alta especificidad, permite la identificación exacta por tratarse de una técnica molecular.
El ADN cromosomal de la cepa control de L. monocytogenes 446 empleada, evidenció una alta especificidad y sensibilidad a la técnica ya que los primers empleados amplificaron las bandas de 938 pb y 750 pb específicas para género y especie respectivamente. Los primers LU1, U1 y LF, LR utilizados en el ensayo de PCR permitieron la detección simultánea del género Listeria y de la especie monocytogenes. Este hallazgo es importante en los casos en que la asociación de L. monocytogenes con otras especies de Listeria y con otros géneros bacterianos pueda ocurrir. Igualmente se demostró que los primers LU1, U1 y LF, LR, tienen una alta afinidad por la secuencia blanco correcta y son específicos y sensibles para L. monocytogenes (4,10). Otros investigadores han utilizado primers que amplifican un único producto de alguno de los genes característicos de la especie monocytogenes y no descartan la reacción cruzada con otros géneros bacterianos presentes en la muestra (21,22). La amplificación del fragmento que identifica la especie monocytogenes, es importante para descartar reacciones cruzadas con la hemolisina del Streptococcus. Makino y col., (22) utilizaron primers LA1 y LB1 que amplificaban un fragmento de ADN de 626pb, que identificaban el género Listeria y no la especie. Otros autores, aplicaron primers para identificar tanto el género Listeria como la especie monocytogenes, pero su especificidad, comparada con los que amplifican fragmentos del gen de la listeriolisina O (hlyA), ha sido menor (23-26)
Se concluye que el tiempo de demora del PCR para la detección de L. monocytogenes es mucho mas corto, en comparación con el método tradicional Agar PALCAM, el cual representa un buen método de aislamiento microbiológico pero con el requerimiento de una confirmación a través de pruebas bioquímicas, lo que alarga el tiempo para la identificación y reporte del microorganismo.
Referencias
- Oreamuno S. Presencia de Listeria monocytogenes y su relación con el nivel de coliformes fecales durante la manufactura de queso blanco en plantas de la zona de Santa Cruz, Turrialba. Tesis. Licenciatura en Tecnología de Alimentos. Universidad de Costa Rica. San José, Costa Rica; 2001.
- Ortolani MB, Yamazi AK, Moraes PM, Viçosa GN, Nero LA. Microbiological Quality and Safety of Raw Milk and Soft Cheese and Detection of Autochthonous Lactic Acid Bacteria with Antagonistic Activity Against Listeria monocytogenes, Salmonella Spp., and Staphylococcus aureus. Foodborne Pathog Dis. 2009 Oct 19.
- Gardan, R.; Cossart, P.; The European Listeria Genome Consortium, Labadie, J. Identification of Listeria monocytogenes Genes Involved in Salt and Alkaline-pH Tolerance. Appl. Environ. Microbiol. 2003; 69(6):3137-3143.
- Torres KJ, Sierra SC, Poutou RA, Vera H, Carrascal AK, Mercado M. Incidencia y diagnóstico de Listeria Monocytogenes; microorganismo zoonótico emergente en la industria de alimentos. UDCA Actualidad & Divulgación Científica. 2004;7(1):25 - 57.
- Allaert, C. y Escolá, M. Métodos de Análisis Microbiológicos de Alimentos. 3era ed. Díaz de Santos S.A. México; 2002.
- Wan J, King K, Forsyth S, Coventry MJ. Detection of Listeria monocytogenes in Salmon Using the Probelia Polymerase Chain Reaction System. J. Food Protection. 2003; 66(3):436-440.
- COVENIN, 2001. Norma N° 3718:2001 “Aislamiento e identificación de Listeria monocytogenes en alimentos”. Comisión Venezolana de Normas Industriales. Fondonorma. Venezuela.
- COVENIN, 1989. Norma Nº 1126-89 “Alimentos. Codificación y preparación de muestras para el análisis microbiológico”. Comisión Venezolana de Normas Industriales. Fondonorma. Venezuela.
- Bansal NS. Development of a Polymerase Chain Reaction Assay for the Detection of L. monocytogenes in Foods. Appl. Microbiol. 1996; (22):353 - 356.
- Zamora, A.; Ossa, H.; Carrascal, A.; Poutou, R.; Jiménez, D. Identificación Preliminar de L. monocytogenes por PCR. Laboratorio Actual 2000; 17(33):38-41.
- Burbano E, Carrascal A, Mercado M, Poutou R. Validación de PCR para Listeria monocytogenes en Leches. Normas y Calidad – PUJ 2003; (57):39-48.
- Sambrook J, Fritsch EF, Maniatis T. Gel Electrophoresis of DNA. Molecular Cloning: A Laboratory Manual. New York, Cold Spring Harbor Laboratory Press 1989; (1):1-62.
- Sox HC. Common Diagnostic Tests Use and Interpretation. Philadelphia, American College of Physicians; 1987.
- Kathariou S. Listeria monocytogenes virulence and pathogenicity, a food safety perspective. J Food Prot. 2002; Nov 65(11):1811-29.
- Bansal NS. Development of a Polymerase Chain Reaction Assay for the Detection of L. monocytogenes in Foods. Appl. Microbiol. 1996; (22):353 - 356.
- Citti R, Scaramelli A y González I. Aislamiento de Listeria monocytogenes en muestras de queso blanco duro tipo llanero del Distrito Sanitario Uno del estado Aragua, Venezuela. Rev Fac Cs Vets UCV. 1999; 40(2):101-110.
- O’Brien M, Hunt K, McSweeney S, Jordan K. Occurrence of foodborne pathogens in Irish farmhouse cheese. Food Microbiol. 2009; 26(8):910-4.
- Little CL, Sagoo SK, Gillespie IA, Grant K, McLauchlin J. Prevalence and level of Listeria monocytogenes and other Listeria species in selected retail ready-to-eat foods in the United Kingdom. J Food Prot. 2009; 72(9):1869-77.
- Fox E, O’Mahony T, Clancy M, Dempsey R, O’Brien M, Jordan K. Listeria monocytogenes in the Irish dairy farm environment. J Food Prot. 2009; 72(7):1450-6.
- Scotter SL, Langton S, Lombard B, Schulten S, Nagelkerke, N, In’t Veld, P. et al. Validation of ISO Method 11290 Part 1. Detection of Listeria monocytogenes in Foods. I.J.Food Micro. 2001; (64):295-306.
- Ingianni A, Floris M, Palomba P, Madeddu MA, Quartuccio M, Pompei R. Rapid Detection of Listeria monocytogenes in Foods, by a Combination of PCR and DNA Probe. Molecular and Cellular Probes 2001; (15):275-280.
- Makino S, Okada Y, Maruyama TA New Method for Direct Detection of L. monocytogenes From Food by PCR. Appl. Environ. Microbiol 1995; 61(10):3745-3747.
- Duffy, G.; Cloak, O.; Sheridan, J.; Blair, I.; McDowell, D. The Development of a Combined Surface Adhesion and Polymerase Chain Reaction Technique in the Rapid Detection of Listeria monocytogenes in Meat and Poultry. I.J.Food Micro. 1999; (49):151-159.
- Poutou, RA.; Burbano, ME; Sierra, SC; Torres, KJ; Carrascal, AK; Mercado, M. Estandarización de la extracción de ADN y validación de la PCR múltiple para detectar Listeria monocytogenes en queso, leche, carne de res y pollo. Univ Scient 2005; 10(2): 61-78.
- Carrascal AK, Albarracín Y, Sarmiento P. Incidencia de Listeria monocytogenes en leche de vaca expendida en el municipio de Pamplona, Colombia. BISTUA 2007; 5(2):49-57.
- Gallegos, J.; Arrieta, G.; Máttar, S.; Poutou, R.; Trespalacios, A.; Carrascal, A. Frecuencia de Listeria spp., en quesos colombianos costeños. Rev.MVZ Cordoba 2007; 12(2):996-1012.